How can results show a detectable amount of meat fiber for someone following a vegetarian/vegan eating pattern?

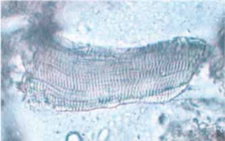
To detect meat fiber, stool is smeared on a glass slide and then a dye is used to provide visual contrast prior to examining the stool under a microscope. When it appears there is striated muscle present, meat fiber is indicated as positive. In individuals who do not consume meat (vegetarians or vegans), contamination of meat-containing foods consumed prior to the test may result in a positive. A complete diet recall of the prior week is recommended. An alternative possibility is that a fiber that looks similar to striated muscle was detected in the stool, or intestinal striated muscle cells, are detected in the stool

 

blobid0.pngblobid1.png

Was this article helpful?
1 out of 1 found this helpful